治療法と治療装置
- HOME
 - 治療法と治療装置
 
歯並びに色々な種類があるように、治療法も様々です。当院では充分なカウンセリングのうえで、もっとも効果的かつ、患者さんの意向に沿える治療法と装置を選択するようにしています。
治療法と治療装置 MENU
取り外し式装置
機能的矯正装置
取り外し式で主に睡眠時に装着するマウスピース型の装置です。日中、学校に行っているときなどは外して構いません。
まだ骨の柔らかい、乳歯・永久歯混合歯列期(前歯だけ永久歯で奥歯にまだ乳歯がある頃)に使用することで、顎の位置のズレを改善したり、顎の成長を促すことができます。
いくつかの種類がありますが、写真はEOA(エラスティックオープンアクチベーターの略)とアクチベーターです。その他にもバイオネーターやビムラーなど症例に合わせて様々な種類のバリエーションがあります。
中でもEOAは、『顎の成長拡大』、『でこぼこの改善』、『前歯の隙間の閉鎖』、『顎のズレの改善』といったさまざまな機能を持ち、適切なタイミングできちんと使用すれば、乳歯期のEOA治療だけで矯正治療を完了できることも多く、でこぼこの歯並びでも抜歯することなく治療できるなど、大きな効果が挙げられます。
参考症例トピックス
 『子どもの矯正 早期治療は必要か?』
『乳歯のうちに取り外し装置で矯正!』
『乳歯のうちに取り外し装置で矯正!2 -EOAの仕組み-』
『取り外し装置の長所・短所と使い方のコツ』 
固定式の装置
MBS(マルチ ブラケット システム)
目立たない装置
MBS(マルチブラケットシステム)とは歯1本ずつにブラケットと呼ばれる小さな装置を接着し、ワイヤーを通して歯に力をかけて徐々に動かしていく治療法です。取り外しがきかない分、常に一定の力を歯にかけることができるので、効率よく治療が進みます。また、歯1本ずつの細かい調整が可能なので、歯並びを精密に美しく仕上げることができます。ブラケットには素材や形などによって色々な種類があります。当院では装置の見た目が気になりやすい前歯部分には目立ちにくい透明な素材のブラケットを使用しています。またご希望によりホワイトワイヤーもご用意しておりますのでお気軽にご相談ください。
参考症例トピックス
 『ホワイトワイヤー導入についてのお知らせ』
『MBSマルチブラケットシステムによる下顎前突抜歯症例の治療の流れ』
部分的な治療
症例によっては前歯のみなどの部分的な治療も可能です。基本的には、矯正歯科治療とは第1に健康な咬み合せを作ることを目的としていますので、上の前歯が出ているからといって上の歯だけ装置をつけて治療すれば治るといったものではありません。上下の咬み合せのバランスが重要だからです。
しかし、奥歯や他の咬み合わせはしっかり咬めていて、本当に一部の歯だけ並びが悪いといった場合には、良い咬み合わせの部分は動かさずに、悪い部分だけを治療することがあります。あくまで他の部分の咬み合わせが良い場合に限りますが、最小限の負担で良好な結果が得られます。

参考症例トピックス
 『12歳臼歯の部分治療』
『部分治療』 
抜歯と非抜歯
矯正歯科治療と聞くと、まず歯を抜くというイメージをもたれる方も少なくないかもしれません。しかし、我々矯正歯科専従医は常に、いかに歯を抜くことなく、歯並びを改善するかを模索しているのです。当院でも常にさまざまな学会や研究会から新たな技術をとりいれ、早期治療や GEAW、 歯科矯正用アンカースクリューなどを駆使してずいぶん歯を抜く治療は少なくなっています。
ただし、どうしてもやむをえず必要な場合、抜歯することもあります。非抜歯(歯を抜かない)治療に固執しすぎると、でこぼこは治せても前歯が出てしまったり、歯のアーチを広げすぎて、顎の骨に対して歯の安定が悪くなったり咬み合わなくなったりする場合があるからです。「健康な歯を抜くなんて」と思われるかもしれませんが、当院では歯と顎の総合的な健康を目指して最適な治療法を提案するようにしております。
参考症例トピックス
 『抜歯と非抜歯どちらをえらびますか?』
『抜歯の必要性』 
新しい治療法
最も新しい治療法のひとつとして「歯科矯正用アンカースクリューを使用した矯正歯科治療」があります。通常、矯正歯科治療で歯を動かす場合、一方の歯を支点にもう一方の歯を押したり引いたりして動かすのですが、この際、支点となる歯も反作用として動いてしまうという問題がありました。
この問題を解決すべく開発されたのが「歯科矯正用アンカースクリュー」と呼ばれる極小のチタン製ネジを顎の骨に植込み、それを支点に歯を動かす矯正歯科治療法です。
余分な反作用がおこらないので、治療効率がよくなったり、今までは不可能とされた治療が可能です。歯科矯正用のアンカースクリューはピアスと変わらない程度の大きさで、植込みも麻酔下で行いますのでそれほど痛みもありません。矯正歯科治療終了後は歯列の安定次第外します。
参考症例トピックス
 『新しい治療法 歯科矯正用アンカースクリューを使用した矯正歯科治療』  
外科矯正
顎や顔の骨格的な変形が大きく、矯正治療のみでは治療が難しいと診断される場合、顎や顔の骨の手術を併用し、治療を行うことがあります。こういった症例を顎変形症と呼び、具体的には極端に下顎が大きく成長してしまった下顎前突(かがくぜんとつ)などが多いですが、その他にも色々なパターンがあります。
治療は、まず術前矯正と呼ばれる矯正治療で手術後の顎の位置を想定しながら歯列を整えた後、外科手術で顎の位置を改善し、術後矯正で咬み合わせを完成させます。治療後は歯並びだけでなく、顔貌にも改善が見られます。
当院は顎口腔機能(がくこうくうきのう)診断施設ですので保険適用が可能です。(ただし現在のところ舌側矯正はいかなる診療所でも保険適応範囲外となっております)
参考症例トピックス
 『下顎前突外科症例-手術を併用した矯正治療-』
『下顎前突外科症例-症例-』 
保定と保定装置
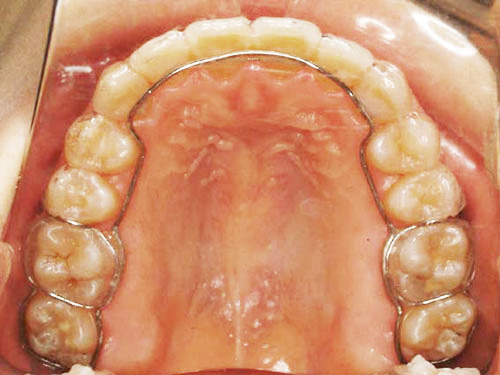
矯正歯科治療後のきれいになった歯並びを維持し安定させることを保定といいます。後戻りといって、装置をはずした瞬間から歯は元の位置に戻ろうとします。(ピアスの穴を開けていてもピアスをつけないでいると、すぐに穴がふさがろうとしてくるのと同じです。)特に、 歯並びとは矯正歯科治療を受ける、受けないにかかわらず、一生を通して少しずつ変化し続けるものなので、せっかくきれいになった歯並びを長く美しく保つために、保定は重要です。保定装置とは矯正歯科治療後の歯並びを維持するために使用するギプスのようなもので、特にMBSで精密な治療を行った後には不可欠な装置です。固定式と取り外し式の装置がありますが矯正歯科治療終了後すぐに使用し始め、取り外し式の装置は徐々に使用時間を減らしながら歯を慣らしていきます。この取り外し式の装置は歯の表にもかかってくるもので、見た目や装着感が気になり、なかなか装着できない患者さんもおられました。当院では透明なカバータイプのSHR(ソフトハードリテーナー)やオリジナルのOH型リテーナーを使用しており、従来のベッグリテーナーやホーレーリテーナーに比べて審美性と装着感に優れているのが特徴です。
SHR(ソフトハードリテーナー):取り外し式
透明な柔らかい素材で歯列全体から歯ぐきまでを覆うようにできています。厚みは0.5ミリとかなり薄いので、ほとんど目立ちません。主に下顎の保定に使用します。(写真は下顎の歯にSHR、上はOH型ワイヤーリテーナーEXを装着)歯磨きや食事の際ははずしていただけます。
OH型ワイヤーリテーナー:取り外し式
ベッグリテーナーの進化型リテーナーで、内側のプラスチック部を一本のワイヤーに置き換えて、舌のスペースを広くし、しゃべりやすくなっています。外側のワイヤーには透明のプラスチックバー(QCMリテーナーワイヤー)を使用し、装着していても目立ちません。基本的に食事の際は外しますが、飲み物や簡単なものなら、着けたままでも構いません。SHRより保持力が強く、後戻りで狭窄しやすい上顎の保定に適しています。
従来型ベッグリテーナー
歯の内側からプラスチック製のベースで支え、外側からはワイヤーで支えています。プラスチック部の厚さは3ミリ前後あります。
(現在当院では極一部の特殊な症例以外使用しておりません。)
OH型ワイヤーリテーナーEX(エキストラ)(唇側面フルカバータイプ):取り外し式
OH型リテーナーの審美性をさらに向上させるため、外側のプラスチックバーを唇側面すべてを被う薄い透明カバーに変えたものです。普通の会話程度では誰も装置を着けていることには気付かないでしょう。主に舌側矯正をされた方に使用しています。
(上顎:OH型ワイヤーリテーナーEX 下顎:SHR)
フィックスドリテーナー:固定式
歯並びの中でもっとも後戻りしやすく、また変化が目立つのが前歯です。フィックスドリテーナーは、そういった前歯のでこぼこやすきっ歯が戻らないように、極細いワイヤーで歯の裏側からボンド剤で直接固定します。裏側につけるので表から見えることもなく、口腔内の自浄作用を妨げないよう歯茎際なども滑らかな表面になるように仕上げますので、適切なメンテナンスを行えばむし歯の心配もなく、日常生活に全く支障ありません。また、取り外し式装置のような自分で着脱するわずらわしさがないのもメリットです。
矯正治療後の後戻りだけでなく、加齢による歯並びの変化からも歯並びを守ってくれます。
ホワイトニング
ホームホワイトニング
各個人の歯に合わせて製作されたカスタムトレーに専用のホワイトニングジェルを注入し歯に覆いかぶせて、ジェルの薬効を浸透させます。毎日2時間程度トレーを装着すると、2週間で徐々に歯が白くなっていきます。
オフィスホワイトニング(歯科診療所でレーザーや光をあててジェルを浸透させる方法)に比べ日数はかかりますが、診療所での診療時間がかからないのと、時間をかけて浸透させるのでホワイトニング効果が高く、持ちがよいのが特徴です。
また、色戻りした際にも自宅で手軽にタッチアップできます。
レジンベニア
写真のような重度のエナメル形成不全やテトラサイクリン着色などは薬剤を使ったホワイトニングでは効果がでません。
このような場合、歯の表面を人工素材(ポーセレン(セラミック)・プラスチックなど)で一層覆うことで歯の色をカバーします。
当院で行うレジンベニアとは歯の表面を歯科用のコンポジットレジン(虫歯治療でも使用するプラスチックの白い充填材)で覆い光硬化させます。ポーセレンラミネートベニアより透明感と色持ちはやや不足しますが、歯を削らずに処置できるので、からだに優しく、破損時や着色時の修復も可能です。コスト的にもポーセレンの10分の1以下と廉価なのも魅力です。

